Swipe to the right to see some pretty cool results.
Swipe left to…no, just keep swiping right!
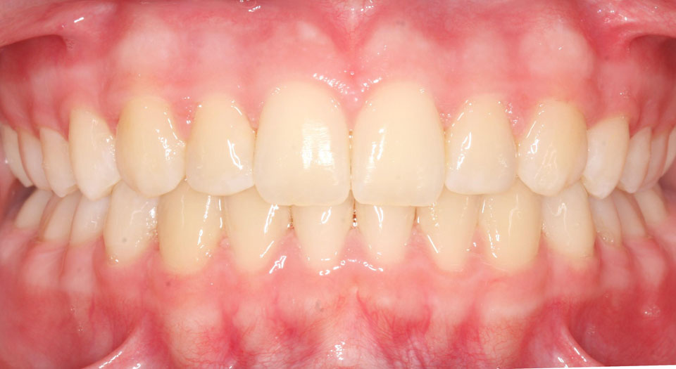
Case 1
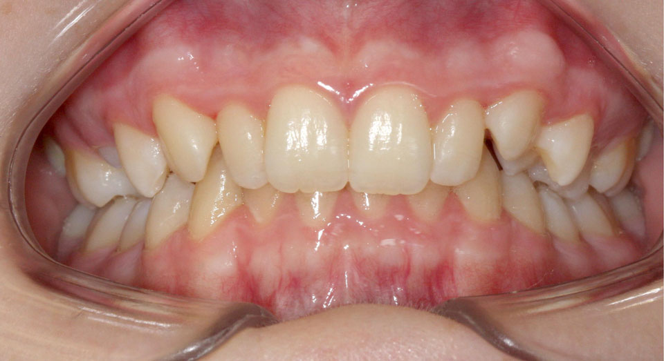
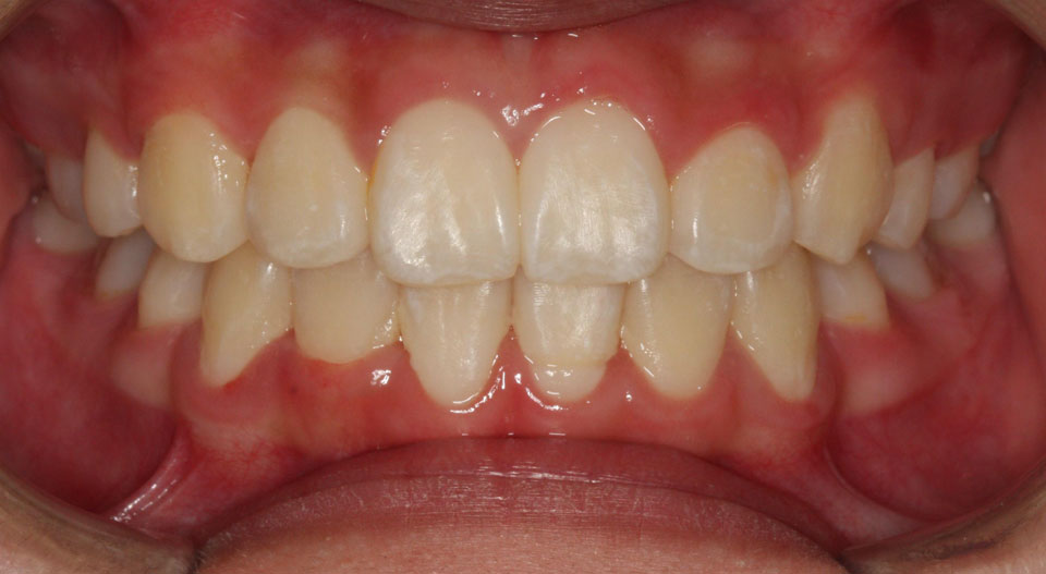
We first saw NB at age 9. There was severe crowding that was managed by conservation of lower spaces. The upper teeth had undersized lateral incisors that were erupting behind the lower front teeth (Crossbite). A short phase of braces was used to correct the crossbite and we maintained that correction until the remaining permanent teeth erupted. Full orthodontic treatment was completed on a non extraction basis with coordination for cosmetic bonding on the upper lateral incisors.
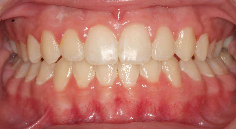
Case 2
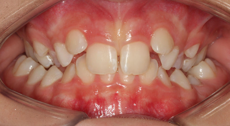
We first saw CK at Age 9. There was severe crowding and an extra tooth growing behind the central incisors. Dr.Charoenkul recommended early extractions of specific teeth and some time time to let the teeth develop into better alignment. Later, permanent teeth were extracted to create space to align the incisors and bite and keep her smile proportionate with her facial structure.
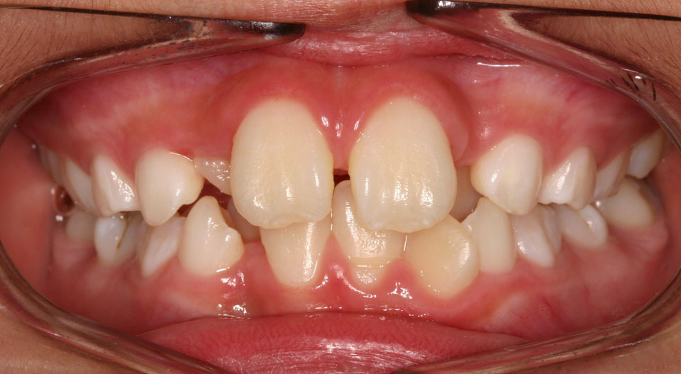
Case 3
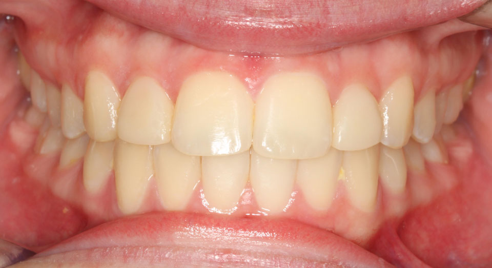
KL started treatment at age 12. The upper incisors were angled inwards and were masking the overjet. Correction of the angulation revealed the true overjet and elastics were used to correct the discrepancy. The upper lateral incisors were undersized. Matching space was created to allow the dentist to achieve a great result with nice symmetry and form to the restoration.


